
Desarticulada una banda que robaba en cajeros automáticos con explosivos
Hay seis detenidos en la operación policial Se han esclarecido 18 casos en las provincias de Valladolid, Zaragoza, Almería y Murcia

Hay seis detenidos en la operación policial Se han esclarecido 18 casos en las provincias de Valladolid, Zaragoza, Almería y Murcia
Alumnos han denunciado que un ministerio les denegó su solicitud al estar en gallego

Cada vez más programas permiten que los escolares puedan ir a clase de forma segura, a pie o en bicicleta

Ofrecen información y apoyo frente a las vulneraciones de derechos





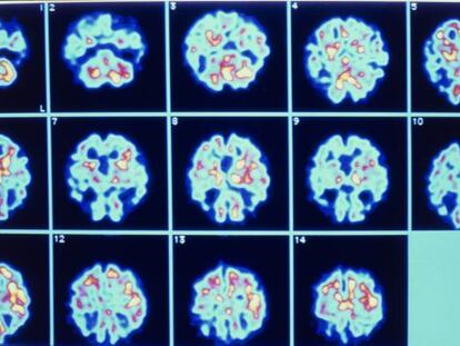
El incremento de la esperanza de vida incrementará los casos en los países en vías de desarrollo Los expertos creen que puede convertirse en el principal desafío sanitario y de asistencia social


El comisario y editor sucede a Massimiliano Gioni, que alcanzó el récord de visitantes La próxima edición se inaugurará en mayo, un mes antes de lo habitual

Los juicios perdidos les llevan a ofrecer del 50% al 100% de lo que figura en la póliza
La letrada alega falta de pruebas de la tentativa de homicidio, tenencia de armas y amenazas
La causa se abre a raíz de la denuncia de un particular

Pide la “profunda revisión” de algunos artículos. Wert prometió ayer que el Consejo de Ministros la aprobara antes de febrero
El Estado coloca otros 3.524 millones a cinco años y supera el objetivo previsto para todo 2013 La mejora registrada en todo 2013 permitirá un ahorro de 8.500 millones

Con la operación Bonomi incorpora un socio en el proyecto, aunque conservará el 50,1% restante
Los expertos anuncian la llegada de fondos tradicionales y para 2015, financiación

Hasta octubre se han iniciado 3.162 viviendas, 400 de ellas en el centro de la capital

El ministro niega que exista un "pulso" entre Montoro y Soria a costa del déficit energético

Un casa ecológica inspirada en Gaudí, un palacio con vistas al río Cares en Asturias y una masía del siglo XVII en Francia
La firma incrementa su cuota en España hasta el 18% gracias a los Xperia
El buscador dice que es un centro de tecnologia, pero un diario publica que será una tienda