Una mujer se clava en el cuello una barra de hierro por salvar a su nieta
La niña tropezó en la azotea e iba a caer al vacío cuando su abuela la abrazó y ambas cayeron. La pequeña resultó ilesa y la mujer impactó con el hierro
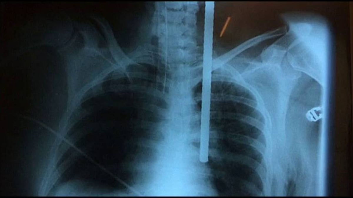
Virginia trató de salvar a su nieta de caer desde una azotea cuando ambas se precipitaron al vacío en Perú. La abuela abrazó a la pequeña para evitar el golpe y se clavó un hierro que entró por la clavícula llegando hasta el pulmón. En el hospital los médicos observaron que la barra de metal entraba en el cuerpo a varios milímetros de la arteria aorta; tenían que operar a la paciente a vida o muerte. Gracias a la pericia médica de los profesionales, Virginia puede contar la experiencia un mes después de lo ocurrido. Por el acto heroico de esta abuela la pequeña no sufrió heridas graves.
Tu suscripción se está usando en otro dispositivo
¿Quieres añadir otro usuario a tu suscripción?
Si continúas leyendo en este dispositivo, no se podrá leer en el otro.
FlechaTu suscripción se está usando en otro dispositivo y solo puedes acceder a EL PAÍS desde un dispositivo a la vez.
Si quieres compartir tu cuenta, cambia tu suscripción a la modalidad Premium, así podrás añadir otro usuario. Cada uno accederá con su propia cuenta de email, lo que os permitirá personalizar vuestra experiencia en EL PAÍS.
¿Tienes una suscripción de empresa? Accede aquí para contratar más cuentas.
En el caso de no saber quién está usando tu cuenta, te recomendamos cambiar tu contraseña aquí.
Si decides continuar compartiendo tu cuenta, este mensaje se mostrará en tu dispositivo y en el de la otra persona que está usando tu cuenta de forma indefinida, afectando a tu experiencia de lectura. Puedes consultar aquí los términos y condiciones de la suscripción digital.































































