Así funciona el cerebro del mejor jugador del mundo de ajedrez a ciegas
El uzbeko Garéyev explica cómo jugó 48 partidas a la vez sin ver los tableros y batió el récord mundial

El ajedrez a ciegas, memorizando la situación de las piezas, es una de las pruebas más asombrosas de la capacidad de la mente. El estadounidense de origen uzbeko Timur Garéyev, de 29 años, batió el 4 de diciembre el récord del mundo de partidas simultáneas sin ver el tablero: jugó 48 en 18,5 horas, logrando más del 80% de la puntuación. Ahora, cien días después, sabemos cómo lo hizo y por qué su mente es extraordinaria.

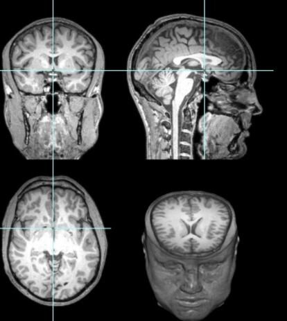
Un año antes de la proeza, Garéyev se prestó a que su cerebro -dividido en 200 áreas- fuera profundamente analizado por el equipo del doctor Jesse Rissman, director del Laboratorio de Memoria de la Universidad de Los Ángeles (UCLA). Esas pruebas forman parte de un estudio mucho más amplio que aún no ha sido publicado, pero Rissman ha desvelado algunos resultados. La conclusión más asombrosa para quienes llevamos muchos años informando sobre ajedrez a ciegas es que la memoria fotográfica de Garéyev no es extraordinaria: “No encontramos nada excepcional en las pruebas convencionales que pasó Garéyev en cuanto a su capacidad para memorizar números, fotos o palabras en un orden concreto”, asegura Rissman, quien sin embargo se muestra “muy asombrado por el número de partidas que puede mantener activas en su memoria simultáneamente”.
Entonces, ¿dónde está la clave? En que varias partes del cerebro de Garéyev, especialmente en la zona frontoparietal, están mucho mejor conectadas que en la gran mayoría de las personas, según se desprende del escaneo que le hicieron en la UCLA. “Utilizamos esa red de conexiones en casi todas las tareas complejas. Nos ayuda a centrar la atención, recordar instrucciones o normas y decidir si respondemos o no a una pregunta o estímulo”, explica Rissman. Además, los expertos de la UCLA descubrieron que la visión espacial de Garéyev está excepcionalmente desarrollada, porque la parte del cerebro que la controla tiene muchas conexiones con otras.

El prestigioso investigador español Fernando Maestú, director del Laboratorio de Neurociencia Cognitiva y Computacional del Centro de Tecnología Biomédica de Madrid, también está impresionado por el logro de Garéyev: “No es exagerado decir que está cerca de los límites humanos. Retener y manejar tal cantidad enorme de información durante casi 19 horas consecutivas con tan buenos resultados apenas tiene parangón, que yo sepa, en otros ámbitos de la actividad intelectual. Es algo realmente muy extraordinario”.
Tras conocer el avance de los resultados del estudio de Rissman, Maestú deduce: “Garéyev debe tener un desarrollo excepcional de lo que llamamos agenda viso-espacial de la memoria operativa, la que nos sirve para recordar información durante periodos cortos de tiempo, no durante meses o años. Esa función depende de los lóbulos central y parietal, que están alojados en la parte derecha del cerebro. En otras palabras, lo asombroso en este caso no es que recuerde mucho, sino que maneja lo que recuerda de manera excelente, mucho mejor de lo habitual”.

Esa capacidad extraordinaria, ¿se debe a los genes o al entrenamiento? “La respuesta a esa pregunta casi siempre es mixta. Alguien puede lograr un dominio muy avanzado de la técnica para tocar el piano, pero sólo por eso no logrará nunca tocar tan bien como otra persona con un talento innato para tocar el piano, que además ha trabajado la técnica intensamente”, remacha Maestú.
El entrenamiento de Garéyev ha sido muy exhaustivo durante los últimos años. No tanto en la faceta técnica del ajedrez (tiene el título de gran maestro desde 2004, y fue 3º en el Campeonato de EEUU de 2013) como en la potenciación de su memoria y, sobre todo, en la resistencia física: ha corrido maratones, ha participado en carreras de motos de una semana, hace yoga cada día y mantiene una alimentación vegana. Durante las 18,5 horas del récord del mundo, el pasado 4 de diciembre en Los Ángeles, pedaleó unos 80 kilómetros en una bici estática, bebió chocolate (quería evitar el café y las bebidas energéticas) y zumo de manzana, y comió pequeñas cantidades de sandía marinada en limón, aguacate, aceite de coco, hojas verdes y guindillas picantes.

En las exhibiciones de simultáneas a ciegas, Garéyev procura asociar cada partida con una habitación de un gran palacio imaginario. También las asocia con determinados números; por ejemplo, las partidas donde hay mucho ataque las agrupa bajo el número nueve, porque es el del delantero centro en fútbol. Según cuenta en un artículo publicado en el último número de la revista New in Chess, dio mucha importancia a reunirse y hablar en la víspera con sus rivales del día siguiente: “De ese modo, cuando ellos me cantaban su jugada, yo recordaba cómo eran físicamente y asociaba su voz y su imagen con la posición de ese tablero”.
Rafael Andarias es ajedrecista y médico del servicio de Urgencias de Denia (Alicante); fue el primer responsable del control antidopaje de la Federación Española de Ajedrez. Ve mucha lógica en los métodos y alimentación de Garéyev: “De hecho, yo aplico mi manera de pensar como ajedrecista a mi trabajo en Urgencias. Si en un momento dado estoy atendiendo a doce pacientes a la vez, los distribuyo mentalmente como si fueran doce partidas simultáneas, y así voy decidiendo si a uno le doy de alta, o sigue en observación, o necesita ser operado o hay que hacerle más pruebas. Garéyev lleva esa organización mental a sus límites, a lo bestia, y además a ciegas”.

Lo que comió y bebió el estadounidense durante su proeza está muy puesto en razón: “En una situación así, es fundamental que las digestiones sean muy ligeras. El café y las bebidas energéticas serían contraproducentes, porque su efecto es demasiado rápido y además excitan mucho, en exceso para lo que él necesitaba; por el contrario, el chocolate líquido contiene sustancias similares a la cafeína, pero de efecto más suave y prolongado. Los carbohidratos del zumo de manzana dan energía de absorción rápida, equilibrados con la gran cantidad de agua que contiene la sandía, de efecto más permanente”.
El rendimiento del cerebro depende mucho de una buena circulación sanguínea, y de la capacidad pulmonar. “Por tanto, el entrenamiento de Garéyev en maratones tiene mucho sentido. Y la bicicleta estática durante la exhibición también, porque así evitó que su cuerpo se entumeciera; por la misma razón, en los vuelos de largas distancias se deben hacer ejercicios de pies y piernas, para evitar las trombosis”, añade Andarias. Y concluye: “Este caso es un ejemplo extremo para demostrar que la buena preparación física es fundamental para el alto rendimiento en ajedrez, y por extensión en cualquier actividad intelectual. Por ejemplo, en mi profesión se ha iniciado un debate sobre si nuestras guardias en Urgencias deben durar 24 horas seguidas, debido a la gran resistencia física que ello requiere y los riesgos de pérdida de atención y errores no forzados”.

Además de los pequeños descansos programados de diez minutos para ir al baño y estirar las piernas, Garéyev sufrió dos interrupciones más largas, inesperadas y molestas. La primera, porque saltó la alarma de humos, debido a que los organizadores prepararon salchichas para los participantes. La segunda, porque uno de sus rivales sospechó que el dispositivo pegado a un oído de Garéyev podía servir para hacer trampas (que alguien, con ayuda de potentes programas de ajedrez, le estuviera soplando sus mejores jugadas en cada partida); hubo que demostrar al desconfiado que ese adminículo estaba conectado al micrófono inalámbrico para cantar las jugadas.
En ambos casos, Garéyev logró mantener la concentración y la memoria, gracias a técnicas de yoga. Y así logró el impresionante resultado de 35 victorias, siete empates y sólo seis derrotas. Cuando terminó estaba muy desorientado y cansado, pero ahora ya se encuentra bien, dispuesto a batir de nuevo el récord del mundo en cuanto haya un patrocinador. Se cree capaz de subirlo a 55 partidas, lo que equivaldría a memorizar la situación de 1.760 piezas durante más de 20 horas seguidas.
Tu suscripción se está usando en otro dispositivo
¿Quieres añadir otro usuario a tu suscripción?
Si continúas leyendo en este dispositivo, no se podrá leer en el otro.
FlechaTu suscripción se está usando en otro dispositivo y solo puedes acceder a EL PAÍS desde un dispositivo a la vez.
Si quieres compartir tu cuenta, cambia tu suscripción a la modalidad Premium, así podrás añadir otro usuario. Cada uno accederá con su propia cuenta de email, lo que os permitirá personalizar vuestra experiencia en EL PAÍS.
¿Tienes una suscripción de empresa? Accede aquí para contratar más cuentas.
En el caso de no saber quién está usando tu cuenta, te recomendamos cambiar tu contraseña aquí.
Si decides continuar compartiendo tu cuenta, este mensaje se mostrará en tu dispositivo y en el de la otra persona que está usando tu cuenta de forma indefinida, afectando a tu experiencia de lectura. Puedes consultar aquí los términos y condiciones de la suscripción digital.
Sobre la firma

































































